
Коли мова заходить про відновлення зубів, усе частіше акцент зміщується на природність результату. У цьому контексті безметалеві коронки стають логічним вибором для тих, хто не хоче компромісів між естетикою і функцією. Вони не просто відновлюють форму зуба, а й дозволяють зберегти відчуття «своєї» усмішки без помітних змін.
Безметалеві коронки: чому вони виглядають природніше за класичні варіанти
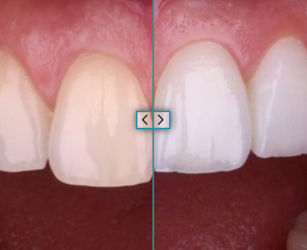
Секрет у матеріалі. Кераміка без металевої основи має властивість пропускати світло, тому зуб виглядає не пласким, а об’ємним. Це тонка деталь, але саме вона формує загальне враження — різницю між «видно, що це коронка» і «виглядає як свій зуб».
Ще один момент — ясна. Без металу немає ризику появи темного контуру біля краю коронки, що іноді трапляється з класичними варіантами. Завдяки цьому усмішка виглядає чисто й акуратно навіть через тривалий час.
У Crystal Dent підкреслюють, що саме такі деталі визначають фінальний результат, особливо коли йдеться про передні зуби.
Як поводяться конструкції у повсякденному житті
Після встановлення пацієнтів зазвичай цікавить не лише зовнішній вигляд, а й відчуття. Важливо, щоб новий зуб не відрізнявся від інших під час їжі чи розмови. Сильними сторонами безметалевих колонок є:
- не дають відчуття важкості або стороннього тіла;
- не змінюють смак їжі, як іноді буває з металом;
- зберігають стабільний колір без потемніння;
- добре адаптуються до ясен;
- виглядають природно при будь-якому освітленні.
Ці нюанси не завжди очевидні на початку, але саме вони формують комфорт у довгостроковій перспективі. І саме через це пацієнти часто звертають увагу на такі рішення.
Коли безметалеві коронки стають найкращим варіантом
Існують ситуації, коли вибір очевидний — наприклад, якщо потрібно відновити зуб у зоні посмішки. Тут навіть невелика різниця в кольорі або текстурі може бути помітною.
У Crystal Dent підхід до відновлення зубів починається з детального аналізу: лікар оцінює стан тканин, прикус і навіть особливості усмішки. Це дозволяє підібрати рішення, яке виглядатиме максимально природно саме для конкретної людини. У деяких випадках безметалеві коронки стають вибором через естетику, в інших — через комфорт і делікатний контакт із яснами.
У підсумку безметалеві коронки — це скоріше про гармонію, ніж про помітний ефект. Вони не привертають зайвої уваги, але створюють відчуття впевненості у власній усмішці.

